우리은행, 2조6000억원 SK이노 자회사 선순위 인수금융 주선 완료

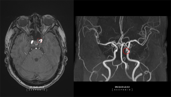
(서울=NSP통신) 이복현 기자 = 의료 인공지능(AI) 전문기업 딥노이드(대표 최우식)의 뇌동맥류 뇌영상검출·진단보조소프트웨어 딥뉴로(DEEP:NEURO)가 혁신의료기술로 선정됐다.
딥뉴로는 식품의약품안전처 및 관계부처가 진행하는 혁신의료기기 통합심사 과정에서 올 3월 혁신의료기기로 지정돼 기술 혁신성과 시장 창출 가능성 등을 인정받았으며, 한국보건의료연구원(NECA)의 최종 평가를 통해 지난 8월 14일 최종 혁신의료기술로 선정되었다.
이번 선정결과를 통해 딥노이드는 한시적 비급여 대상으로 임상시장 진입이 가능 해졌다.
딥뉴로는 뇌동맥류 의심 환자의 뇌혈관 자기공명혈관조영술(이하 MRA) 영상에서 뇌동맥류 의심 부위를 인공지능(AI)로 판독 및 분석해 의료인의 진단을 보조하는 제품이다.
한편 딥노이드는 올 하반기부터 동남아시아 시장 진입을 시작으로 미국, 유럽 진출을 준비해 내년에는 해외에서도 매출을 내겠다는 계획이다.
최우식 딥노이드 대표는 “베트남 등 동남아시아 진출 준비에 박차를 가하고 있다”며 “내년부터는 가시적인 성과가 나올 것을 기대한다”라고 밝혔다.
ⓒ한국의 경제뉴스통신사 NSP통신·NSP TV. 무단전재-재배포 금지.