국내 17개 상급병원에 설치 완료, 환자 동의 시 해당 솔루션 비급여로 바로 실사용 가능

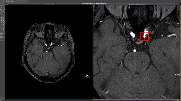
(사진 = 딥노이드)
(서울=) 이복현 기자 = 국내 의료 인공지능 전문기업 딥노이드(대표 최우식)의 AI기반의 뇌동맥류 검출 진단보조 솔루션 ‘DEEP:NEURO(딥뉴로)’가 건강보험 비급여로 의료기관에서 사용을 시작했다.
딥뉴로는 지난 해 식품의약안전처와 보건복지부가 주관하는 혁신의료기기 통합심사 평가를 통해 혁신의료기술로 선정됐다. 이후 실제 사용 허가인 혁신의료기술 사용 신고(임상진료) 결과 통보를 받았다.
해당 솔루션은 현재 국내 17개 상급병원에 설치돼 있다. 뇌 MRA 검사 시, 환자의 동의만 있다면 DEEP:NEURO(딥뉴로)를 통해 뇌동맥류 검출을 보조 받을 수 있으며, 자사는 적용 건당 병원에 비용을 청구하게 된다.
딥뉴로는 뇌 MRA 영상에서 AI를 활용해 뇌동맥류를 검출해 의료진의 진단을 보조하는 솔루션이다. 뇌동맥류에 대한 일관된 결과를 제공하며 영상판독 편의성과 정확도를 높임으로써 의료진의 빠른 대응과 치료가 필요한 뇌혈관질환의 골든타임을 지킬 수 있을 것으로 예상한다.
또 뇌동맥류 검진을 필요로 하는 환자 수의 확대로 MRA 검진 시장은 더욱 커질 것으로 전망한다.
이번 절차를 진행한 딥노이드 관계자는 “환자가 최선의 치료를 받을 수 있는 기회가 추가된다는 점에서 기대가 크다”며 “딥노이드 역시 딥뉴로는 자사의 의료 AI 솔루션 중에서 보험적용을 받은 첫 사례로 매출 발생이 가능한 사업군을 보다 확장해 나갈 것”이라고 말했다.
딥뉴로는 지난 해 식품의약안전처와 보건복지부가 주관하는 혁신의료기기 통합심사 평가를 통해 혁신의료기술로 선정됐다. 이후 실제 사용 허가인 혁신의료기술 사용 신고(임상진료) 결과 통보를 받았다.
해당 솔루션은 현재 국내 17개 상급병원에 설치돼 있다. 뇌 MRA 검사 시, 환자의 동의만 있다면 DEEP:NEURO(딥뉴로)를 통해 뇌동맥류 검출을 보조 받을 수 있으며, 자사는 적용 건당 병원에 비용을 청구하게 된다.
딥뉴로는 뇌 MRA 영상에서 AI를 활용해 뇌동맥류를 검출해 의료진의 진단을 보조하는 솔루션이다. 뇌동맥류에 대한 일관된 결과를 제공하며 영상판독 편의성과 정확도를 높임으로써 의료진의 빠른 대응과 치료가 필요한 뇌혈관질환의 골든타임을 지킬 수 있을 것으로 예상한다.
광고를 불러오는 중...
이번 절차를 진행한 딥노이드 관계자는 “환자가 최선의 치료를 받을 수 있는 기회가 추가된다는 점에서 기대가 크다”며 “딥노이드 역시 딥뉴로는 자사의 의료 AI 솔루션 중에서 보험적용을 받은 첫 사례로 매출 발생이 가능한 사업군을 보다 확장해 나갈 것”이라고 말했다.
![LG그룹[T01] [NSPAD]LG그룹](https://file.nspna.com/ad/T01_lgfuture_5298.gif)
![삼성전자[T01] [NSPAD]삼성전자](https://file.nspna.com/ad/T01_samsung_5043.gif)
![종근당[N06] [NSPAD]종근당](https://file.nspna.com/ad/N06_jonggdang_5335.jpg)
![KB금융[N06] [NSPAD]KB금융](https://file.nspna.com/ad/N06_kbjiju_5319.gif)
![KT텔레캅[N06] [NSPAD]KT텔레캅](https://file.nspna.com/ad/N06_kttelecap_5303.png)
![현대카드[N06] [NSPAD]현대카드](https://file.nspna.com/ad/N06_hcard_5302.jpg)
![현대엔지니어링[N06] [NSPAD]현대엔지니어링](https://file.nspna.com/ad/N06_hunengin_5300.jpg)
![하나금융[N06] [NSPAD]하나금융](https://file.nspna.com/ad/N06_hanagroup_5299.jpg)
![SBI저축은행[N06] [NSPAD]SBI저축은행](https://file.nspna.com/ad/N06_SBIbank_5296.png)
![부산은행[N06] [NSPAD]부산은행](https://file.nspna.com/ad/N06_busanbank_5295.jpg)
![토스뱅크[N06] [NSPAD]토스뱅크](https://file.nspna.com/ad/N06_tossbank_5287.png)
![CJ프레시웨이[N06] [NSPAD]CJ프레시웨이](https://file.nspna.com/ad/N06_cjonmart_5284.jpg)
![KB국민카드[N06] [NSPAD]KB국민카드](https://file.nspna.com/ad/N06_KBCARD_5283.jpg)
![우리은행[N06] [NSPAD]우리은행](https://file.nspna.com/ad/N06_wooribank_5281.jpg)
![신한은행[N06] [NSPAD]신한은행](https://file.nspna.com/ad/N06_shinhanbank_5280.jpg)
![HD현대[N06] [NSPAD]HD현대](https://file.nspna.com/ad/N06_HDHKCHUSUN_5278.jpg)
![컴투스[N06] [NSPAD]컴투스](https://file.nspna.com/ad/N06_comtus_5267.jpg)
![위메이드[N06][N06_wemade_5263] [NSPAD]위메이드](https://file.nspna.com/ad/N06_wemade_5263.jpg)